Kenny L Brown DVM


"PETVET76"      Mobile Veterinary

Kenny Brown DVM
BREESE, IL 62230
ph: 5202084149
alt: 5203311589

kbrowndvm76@outlook.com

  • Home
    • My Amazon Ebook
  • Testimonials
    • PHOTOS
  • About Us
  • Credentials and Training
  • Information About Pet Health
  • Services
    • Trauma treatment and repair
  • Ultrasound
  • Emergency
  • CONCIERGE -AT HOME EUTHANASIA SERVICES
  • Contact Us

PHOTOS

A few local residents in the San Antonio area who are interested in and actively involved with owning chickens in their backyard environments attend a class given by Dr. Brown on the how-tos and what-to-know about keeping healthy chicks and chickens. The session included information on chicken diets, environment care, healthy eggs and other concerns that enable these folks to raise and maintain healthy chickens and provide fresh eggs for their families.

chickens

Dr. Brown answers questions about her chickens for a lady who attended the class.

 

 DIAGNOSTICS

 

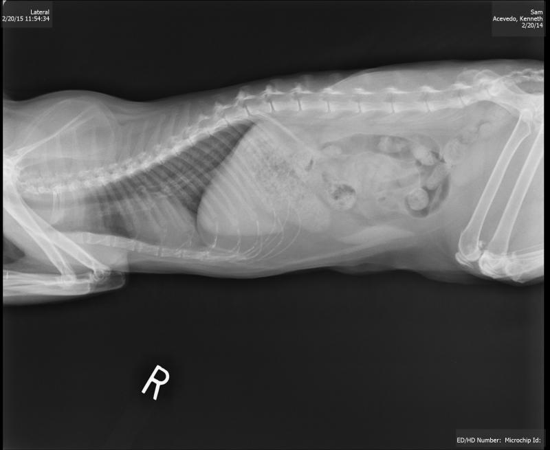
Radiographic view canine patient...abdominal.

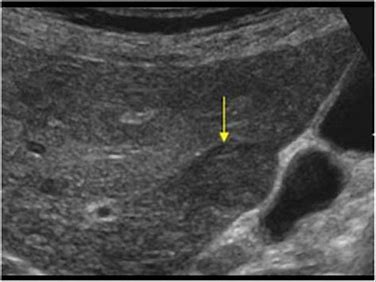
Abdominal Ultrasound

 


 Ultrasound view

 Ultrasound view...canine liver.

 

Dr. Brown performs an ultrasound as part of a diagnostic office visit to determine what internal problems may exist causing this cat to have urinary incontinence and difficulty.

 

 


 SURGICAL OUTCOMES

Spinal surgery

This little 5 lb Chihuahua-mix underwent surgery with Dr. Brown on his spine to repair three discs that were damaged. (Photo in Service page). Post-surgery after care utilizing a tens-unit to stimulate muscles and provide additional pain relief, and he is up and able to stand. At the end of a month, he was running around the house with the rest of his eight housemates!



Copyright 2016 Kenny Brown DVM. All rights reserved.

Web Hosting by Turbify

Kenny Brown DVM
BREESE, IL 62230
ph: 5202084149
alt: 5203311589

kbrowndvm76@outlook.com